Universitätsklinik für Gefässchirurgie

Inselspital Bern

Die Berner Universitätsklinik ist die grösste gefässchirurgische Klinik der Schweiz. Sie führt am Aortenzentrum Bern jährlich über 300 Aorteneingriffe durch und bietet am Universitären Gefässzentrum Bern in Zusammenarbeit mit der Universitätsklinik für Angiologie eine umfassende gefässmedizinische Versorgung.

Zur Webseite des Inselspitals

Direktor

Prof. Drosos Kotelis

Profil

  • Bietet das gesamte Spektrum der modernen Gefässchirurgie an, einschliesslich offener und endovaskulärer Verfahren.
  • Dient als Referenzzentrum für Aortenerkrankungen in der Schweiz in Zusammenarbeit mit der Klinik für Herzchirurgie.
  • Bietet umfasssende Gefässmedizin als Teil des Universitären Gefässzentrums Bern in enger Partnerschaft mit der Klinik für Angiologie.
  • Unterhält enge klinische Partnerschaften mit den Gefässzentren des Spitalzentrums Biel, des Spitals Thun und des Spitals Interlaken.
  • Bietet eine kompetenzbasierte medizinische Ausbildung für Studierende und Doktorierende.

Externe Partner

Clinical Trials Unit Bern, Cardiovascular Research Cluster Bern, European Vascular Research Collective, Research Collaborative in Peripheral Arterial Disease, ETH Zürich, Nanoflex Robotics

Grants

Educational Grant Cordis, Dr. med. Michel Bosiers

Highlights 2025

"Gefässchirurgie Berner Oberland": Spital Thun, Spital Interlaken und Inselspital Bern bauen Kooperation aus

Die Spital STS AG, die Spitäler fmi AG und die Insel Gruppe AG bauen die bestehende Kooperation im Bereich der operativen Gefässmedizin in Thun, Interlaken und Bern aus und treten ab 1. November 2025 unter dem gemeinsamen Namen «Gefässchirurgie Berner Oberland» auf.

Bildlegende: Dr. med. Daniel Becker, Leitender Arzt (Universitätsklinik für Gefässchirurgie/Universitäres Gefässzentrum Bern; Inselspital, Universitätsspital Bern), Dr. med. Gregor Siegel, Chefarzt (Allgemein- und Viszeralchirurgie, Spitäler fmi AG, Spital Interlaken), Prof. Dr. med. Drosos Kotelis, Klinikdirektor/Chefarzt (Universitätsklinik für Gefässchirurgie/Universitäres Gefässzentrum Bern; Inselspital, Universitätsspital Bern) und Prof. Dr. med. Georg R. Linke, Chefarzt Chirurgische Klinik (Spital STS AG, Spital Thun)

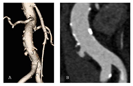
Penetrierendes Aortenulkus in einer 3D-Rekonstruktion (A) und einer zweidimensionalen Computertomographie (B) der infrarenalen Hauptschlagader.

Endovaskuläre Therapie infrarenaler penetrierender Aortenulzera: Ergebnisse einer internationalen Multicenter-Studie

In einer internationalen Multicenter-Studie wurden 260 Patientinnen und Patienten aus zwölf europäischen Gefässzentren analysiert, die zwischen 2018 und 2022 behandelt wurden. Die Mehrheit erhielt eine endovaskuläre Therapie. Die technische Erfolgsrate lag bei über 99 %, die 30-Tage-Mortalität bei 1,5 %. Komplikationen traten vor allem bei symptomatischen oder notfallmässig behandelten PAU auf. Die Ergebnisse bestätigen die endovaskuläre Therapie als sichere und effektive Standardbehandlung infrarenaler penetrierender Aortenulzera.

Becker et al., Eur J Vasc Endovasc Surg. 2025