Bern University Neurocenter

Klinische Neurologie

The largest neurocenter in Switzerland represents the departments of Neurology and Neurosurgery, the Department of Pediatrics with the specialty of neuro-pediatrics, the University Institute of Diagnostic and Interventional Neuroradiology, and the University Hospital of Psychiatry UPD Bern.

To the Neurocenter website

Profile

The Bern University Neurocenter, representing the Departments of Neurology, Neurosurgery, the University Institute of Diagnostic and Interventional Neuroradiology, Neuropediatrics, and Psychiatry is the largest neurocenter in Switzerland, with more than 400 beds and more than 1,400 collaborators. Research areas with strong interdisciplinary approaches within the Neurocenter include the following: stroke, sleep-wake-epilepsy, advanced neuroimaging, neuroimmunology, movement disorders, neurorehabilitation including computer-assisted systems and robotics, intraoperative neurophysiological monitoring and mapping techniques and surgical technologies, systems neurosciences, neurodegeneration, dementia, brain health, neuromuscular disorders.

Highlights 2025

mRS scores at 90 days, stratified by presence or absence of carotid tandem lesions

Intravenous thrombolysis before endovascular treatment versus endovascular treatment alone for patients with large vessel occlusion and carotid tandem lesions: individual participant data meta-analysis of six randomised trials

For patients with large-vessel occlusion stroke and carotid tandem lesions, the optimal use of intravenous thrombolysis in addition to endovascular treatment is unclear. In an individual participant data meta-analysis of six randomised trials including 2313 patients, functional outcomes did not differ between intravenous thrombolysis plus endovascular treatment and endovascular treatment alone, regardless of whether tandem lesions were present. Intracranial haemorrhage and symptomatic haemorrhage rates were also similar between treatment groups. These findings suggest that the presence of carotid tandem lesions should not by itself influence decisions about administering intravenous thrombolysis before endovascular treatment.

Cavalcante et al., Lancet Neurol. 2025

Treating Medium- and Distal-Vessel Occlusions in Stroke

Endovascular Treatment for Stroke Due to Occlusion of Medium or Distal Vessels (DISTAL)

Endovascular treatment (EVT) is effective for large-vessel occlusion stroke, but its effect in medium or distal vessel occlusion is unclear. In a randomized trial of 543 participants with isolated occlusion of medium or distal vessels, EVT plus best medical treatment showed no significant difference in disability at 90 days compared with best medical treatment alone. Mortality and symptomatic intracranial hemorrhage were also similar between groups. EVT did not reduce disability or death in this population.

Psychogios et al., N Engl J Med. 2025

Primary composite outcome at 30 days by DOAC initiation timing (cumulative hazard)

Collaboration on the optimal timing of anticoagulation after ischaemic stroke and atrial fibrillation: a systematic review and prospective individual participant data meta-analysis of randomised controlled trials (CATALYST)

Early initiation of a direct oral anticoagulant (DOAC) after acute ischaemic stroke in people with atrial fibrillation remains uncertain. We estimated the effects of starting a DOAC early (≤4 days) versus later (≥5 days). In a systematic review and individual patient data meta-analysis of four randomised trials including 5441 participants, the primary outcome occurred in 2.1% with early DOAC versus 3·0% with later initiation (OR 0·70, 95% CI 0·50–0·98). Early DOAC also reduced recurrent ischaemic stroke without increasing symptomatic intracerebral haemorrhage. These findings support early DOAC initiation in clinical practice.

Dehbi et al., Lancet. 2025

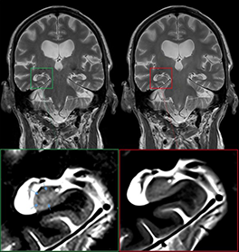
Coronal T2 images in an 89-year-old male patient undergoing MRI for suspected neurodegenerative disease.

Deep Resolve Boost in 2D MRI for Neuroradiology: A Comparative Evaluation of Diagnostic Gains and Potential Risks

Deep Resolve Boost applied to accelerated acquisition (DRB-ACC) offers the potential to reduce MRI acquisition time and improve image quality, but studies on its impact on artifacts, anatomical delineation, and imaging findings are scarce. In this study of 256 paired 2D sequences, DRB-ACC showed good or fair image quality in most cases and equivalent lesion depiction in 91.6% of cases. However, anatomical delineation was inferior in key regions, and artifacts were more pronounced or newly introduced in many sequences. DRB-ACC enables acceleration of 2D MRI while maintaining image quality, but caution is needed in scenarios requiring high anatomical detail.

Hakim et al., AJNR Am J Neuroradiol. 2025

Graphical Abstract

Effect of Decompressive Craniectomy According to Location of Deep Intracerebral Hemorrhage: A SWITCH Trial Analysis

Decompressive craniectomy (DC) seemed to reduce the risk of death or profound disability after deep intracerebral hemorrhage (ICH) in the SWITCH trial, but whether the effect differs by ICH location is unknown. In a post hoc analysis of 184 participants, the marginal risk of the primary outcome was lower with DC by 15.6% (95% CI, −49.2% to 18.1%) in ICH involving the basal ganglia alone, by 11.4% (−29.3% to 6.6%) in basal ganglia plus posterior limb of the internal capsule, and by 9% (−31% to 12.9%) in basal ganglia plus posterior limb of the internal capsule and thalamus. There was no evidence for a treatment-by-location interaction (P=0.95), and secondary outcome analyses yielded consistent results. These findings suggest that the potential benefits of DC seemed preserved regardless of deep ICH location.

Polymeris et al., Stroke. 2026