Translational Imaging Center

Innenansicht des sitem-insel Gebäude

The Center is part of the Insel Gruppe and is supported by sitem-insel, the University of Bern, and Siemens Healthineers. It enables translational imaging research ranging from molecular chemistry and physics to applied human-oriented research and employs advanced magnetic resonance imaging.

To the TIC website

Managing Director

PD Dr. Piotr Radojeweski

Medical Director

Prof. Roland Wiest

Profile

  • MR methodology
  • MR imaging at 3 and 7 T in radiology and neuroradiology, neurosurgery, neurology, radiation oncology, cardiology, metabolism and diabetology, psychiatry, psychology, and veterinary medicine
  • MRI services and consulting for basic and clinical research and clinical imaging
  • Translational research with industry partners
  • Continuous education in MR imaging

External Partners

Selected partners are:

  • Siemens Healthineers
  • University of Vienna
  • University of Geneva
  • Universitätsklinik Balgrist

Grants

A selection of ongoing projects:

  • BISS – Bernese Intracranial Stenosis Study. Project number 200668. Mirjam Heldner.
  • SWISS SECOND - the impact of disease activity on secondary brain alterations in epilepsy patients five years after the first seizure. Project number 10005008. Roland Wiest, Richard Mckinley, and Piotr Radojewski.
  • Targeting Intracellular Potassium in Volunteers and Patients with Hypertension and Chronic Kidney Disease by Ultra-High Field MR Imaging and Spectroscopy at 7T. Project number 10004899. Peter Vermathen.
  • Quantitative magnetic resonance biopsies: Exploiting signal asymmetries for next-generation noninvasive biomarker mapping. Project number 194296. Jessica Bastiaansen.
  • Exploring the role of the prefrontal cortex in remembering and forgetting. Project number 218252. Jessica Peter.
  • MISSION Deuterium Metabolic imaging of the brain at ultra high field MRI: feasibility study of spectroscopic methods for exploration of brain metabolism without ionizing radiation. Project number 2007997. Johannes Slotboom.
  • 2.0 MR-Eye: Towards a consensual Magnetic resonance Imaging protocol of the Human Eye (SNSR Project) Grant number 220433 Benedetta Franceschiello

Highlights 2025

Meno-FIT project overview

New partnership: Advancing women’s health through a new collaboration between CSEM andInselspital  funded by a Bern Medtech Collaboration Call (BMCC)

Researchers from the Translational Imaging Center have been awarded funding for Meno-FIT, a collaboration with CSEM and the Inselspital. The partnership will merge two kinds of information to better understand muscle health during the menopause transition: high-quality MRI scans from our center and everyday activity data from wearables developed by CSEM. By linking what happens inside the muscle to what people do in daily life, the team aims to create scalable and predictable tools that can support care for women during perimenopause.

Principal Investigator: Jessica Bastiaansen

Project partners: Petra Stute, Peter Vermathen, and Piotr Radojewski.

Impressions from the workshop

Selected event: Open source MRI sequence programming workshop

In September 2025, we hosted the Open-Source MRI Sequence Programming Workshop in Bern. We invited pioneers of open source MRI, Prof. Maxim Zaitsev and Prof. Rita Nunes, and brought together around 50 researchers from Switzerland and across Europe. Over three intensive days, we explored open tools for MRI sequence development, with a strong focus on hands-on learning, collaboration, and open science. The program combined tutorials, live coding sessions, and practical work on the scanner, enabling participants to build their first MRI sequences or prototype more advanced applications.

The workshop highlighted the potential of open-source frameworks for rapid prototyping and methodological innovation in MRI. In addition to the scientific and technical program, a city tour of Bern organized by our students fostered networking and community building. The event was shaped by a highly engaged group of organizers, speakers, and participants, and resulted in new skills, new project ideas, and new international collaborations in the field of MRI.

Organizing committee: Jessica Bastiaansen, Milena Capiglioni, Eva Peper, Piotr Radojewski, Joseph Woods

Funding: SNSF Eccellenza Professorial Fellowship, Translational Imaging Center

The worskhop was embedded in our TIC Seminar Series on MRI Methods and Clinical Applications:

https://www.tic-sitem.ch/tic-seminars

Guodong Wenig (right) with Chao Ma and Didi Chi at the Yale Biomedical Imaging Institute, Yale School of Medicine

Personal story: from dreams to global impact from Guodong Weng

“You don’t need to see the whole path at the start, only the next question worth pursuing”

I was motivated to do research because I am curious about what is usually overlooked. The start of my career path was driven by curiosity about signals that are barely visible. I focused on metabolites that are so low in concentration that many believed they are impractical to detect in vivo. During my PhD, I worked on developing methods that have been later recognized as SLOW spectral editing. The process was incremental and often challenging. Developing new methods taught me that progress rarely comes from a single breakthrough, it comes from endurance, willingness to learn from failure, and formulating better questions.

Seeing SLOW-MRSI moving from a technical idea to a method used in clinical routine, assiting in the process of characterization of  glioma metabolism, was a turning point for me. What started as fundamental research is now applied and recognized across multiple institutes worldwide. This reinforced my belief that rigorous methods can truly make a difference.

More recently, I stepped into a new environment to adapt SLOW for standard 3 Tesla scanners, expanding its accessibility to the population in Switzerland and beyond. Today, a significant part of my work involves supporting and mentoring collaborators across sites, ensuring reproducibility and shared learning.

As an early-career researcher, I learned that you don’t need to follow a straight or predefined path to make an impact. My path has not been linear, but it has shown me that impactful research grows through collaboration, patience, and the courage to pursue ideas that take time to mature. After a year at Yale University developing my 7 Tesla to 3 Tesla translation work in a new environment, I have now returned to our institution with ongoing excitement, new perspectives, and an even stronger belief in collaboration and shared learning experiences.

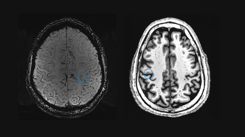
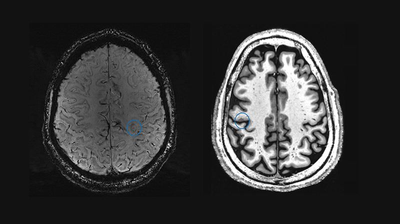
Imaging Biomarkers: paramagnetic rim lesion and central vein sign (left); cortical lesion (right).

Selected publication: 7 Tesla MRI in Multiple Sclerosis: Insights From Its Use in Clinical Routine

Ultra-high-field MRI for improved patient care.

We demonstrated that 7 Tesla ultra-high field MRI can support clinical decision-making in people with suspected multiple sclerosis (MS) when standard imaging does not provide clear answers. In everyday clinical practice, we found that 7 T MRI reveals subtle lesions and specific MS biomarkers that are often difficult to detect with conventional scanners.

By applying 7 T MRI in challenging cases, we were able to clarify diagnoses, increase diagnostic confidence, and in some instances directly influence treatment decisions. This included both confirming MS and ruling it out, helping to choose more appropriate therapies.

Betancourt et al., Eur J Neurol. 2025