University Institute of Diagnostic and Interventional Neuroradiology

Inselspital Bern

The Institute covers the entire diagnostic and interventional neuroradiology spectrum using state-of-the-art equipment. Its research priorities are aligned with the other neuro-oriented research groups of the University and the Inselspital. They can be divided into clinical projects (neurovascular research) and basic research.

To the Inselspital website

Director and Chief Physician

Prof. Jan Gralla

Profile

Neurovascular research:

The research group focuses on treatment strategies for neurovascular diseases (aneurysms, AVM) and especially the evaluation and treatment of acute ischemic stroke. The researchers combine preclinical development of techniques in bench-top and animal models and evaluate their application in large-scale international clinical studies (Swift direct). Furthermore, the group evaluated robotic approaches and the feasibility of periprocedural flat panel CT imaging in neurovascular treatment.

Advanced Neuroimaging and Artificial Intelligence Technology in Neuroradiology:

The research of the Support Center of Advanced Neuroimaging (SCAN) focuses on the translation of quantitative imaging methods, artificial intelligence technology and automated image analysis into clinical practice, sequence development and methodological counselling for neuroimaging studies. In this domain, the researchers of the SCAN have participated in international neuroimaging trials (e.g. ENIGMA Epilepsy and NIH-funded ENIGMA Parkinson´s disease), neuroimaging challenges and data analysis networks in cerebrovascular research, neuro-oncology, neuro-immunology, sleep-related disorders, epilepsy, and neurodegenerative disorders.

CSF Hypo- und Hypertension Syndromes:

The multidisciplinary group of the Neuro Center develops new imaging modalities and interventional/surgical treatment options for patients with CSF leakage syndromes and idiopathic intracranial hypertension.

Translational imaging / Ultra High Field MRI:

Methodological and translational research projects encompassing structural, advanced, and molecular neuroimaging are executed at the Translational Imaging Center (TIC) in sitem-insel. The core areas of research encompass advanced diagnostic procedures in the presurgical workup of refractory epilepsy, brain aneurysms and small vessel disease, neuroimmunology, and brain tumor research.

Grants (selected)

  • SNF project SWISS SECOND - the impact of disease activity on secondary brain alterations in epilepsy patients five years after the first seizure. Project number 10005008. Roland Wiest, Richard Mckinley, and Piotr Radojewski.
  • SNF project: NAVIGATE MRI
  • Investigate MRI-detected new brain lesions (covert strokes) after TAVI versus open heart valve replacement. NRAD: E. Piechowiak
  • European Union’s Horizon Europe research and innovation programme Brain disease monitoring through the life span powered by artificial intelligence (BRIDGE-AI). Grant agreement No 101225642.
  • Roland Wiest, Richard McKinley

Highlights 2025

TECNO Trial

TECNO Trial finished recruitment

The Safety and Efficacy of intra-arterial Tenecteplase for non-complete reperfusion of intracranial occlusions trial (TECNO) was an investigator-initiated multi-center randomized controlled trial evaluating a potential benefit of intra-arterial thrombolytics after mechanical thrombectomy for stroke. Incomplete reperfusion remains a concern in endovascularly treated stroke patients. Residual occlusions limit brain reperfusion and thus decrease the likelihood of good recovery of the patient. The trial, conducted in Switzerland, Germany, Austria, Belgium, and Portugal, randomized patient to additional intra-arterial thrombolysis with Tenecteplase or no further treatment (best medical treatment). The trial recruitment was successfully finished in 10/2025 and the results of the trial will be presented at the European Stroke Organization Congress 2026 in Maastricht.

Tecno-trial.ch

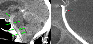
Extensive subarachnoid hemorrhage (green arrows) and the finding of a small perforator aneurysm (red arrow).

Perforator aneurysms of cerebral arteries  –  A possible Explanation of a common clinical problem?

DECIPHER-pmSAH – Strategically Funded Research Highlight

The DECIPHER-pmSAH project (DEtermining the Clinical Impact and Prevalence of HEmoRrhagic subtypes in perimesencephalic SubArachnoid Hemorrhage) is a prospective, multicenter observational study that has been awarded CHF 500,000 through the Strategische Förderung of Inselspital. The project addresses a major unmet clinical need in the field of rare cerebrovascular diseases.

Perimesencephalic subarachnoid hemorrhage (pmSAH) has long been considered a benign, non-aneurysmal entity. However, with the advent of high-resolution modern imaging, particularly advanced angiographic techniques, basilar artery perforator aneurysms (BAPAs) are increasingly recognized as an important and underdiagnosed cause in a relevant subset of patients. These hemorrhagic subtypes are associated with substantially higher complication rates and worse outcomes compared with truly non-aneurysmal pmSAH.

DECIPHER-pmSAH will prospectively enroll patients across 50 international centers to determine the prevalence of BAPAs in pmSAH, compare clinical outcomes, and characterize imaging features that enable early and accurate differentiation of hemorrhagic subtypes. By integrating advanced imaging, clinical data, and patient-reported outcomes, the project aims to refine disease classification and support individualized, evidence-based management of this rare but increasingly recognized condition.

Anatomical delineation performance of DRB-ACC acquisition compared to standard MRI. The delineation of individual anatomical structures was categorized as improved, unchanged, or worsened based on qualitative assessment relative to standard acquisition.

Trusted AI implementation and post market monitoring in Diagnostic Neuroradiology

Artificial intelligence is increasingly entering diagnostic neuroradiology. At the Inselspital Bern, 12 CE-marked algorithms are actively used for clinical decision support in clinical practice. Further, image acceleration techniques for MRI have been implemented to optimize our clinical workflows. Deep Resolve Boost applied to accelerated acquisition (DRB-ACC) offers the potential to reduce MRI acquisition time and improve image quality.

While broadly sed in clinical practice, quality assessment studies on the potential impact on artifacts, anatomical delineation, and the depiction of imaging findings are currently lacking. We therefore aimed to fill this gap and evaluated the clinical performance of DRB-ACC in 2D MRI sequences.

DRB-ACC enables acceleration of 2D MRI while maintaining image quality and lesion visibility. At the same time, the presence of artifacts and reduced delineation of certain anatomical structures underscores the need for caution in the interpretation of image findings and selective use in clinical routine, particularly in clinical scenarios requiring high anatomical detail such as for epilepsy screening or in cases with suspected brainstem pathology.

Post market monitoring is essential for the thrustful implementation of AI services and constitutes a cornerstone of the implementation strategy in Bern.

Hakim et al., AJNR Am J Neuroradiol. 2025